A woman in an orange top stands confidently against a white background.

Smile Gallery

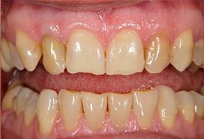
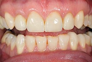
The image shows a close-up of a person s teeth with noticeable discoloration and decay, indicating poor oral hygiene or dental health issues.

Before

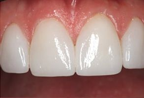
The image shows a close-up of a person s smiling face with teeth, featuring bright white teeth and a relaxed facial expression.

After

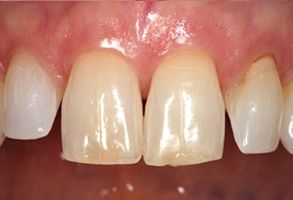
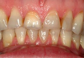
The image shows a close-up of a person s teeth with a focus on the lower front teeth, which appear to be discolored and possibly in need of dental care.

Before

Image of a close-up view of a person s teeth, showcasing yellowing and staining.

After

Alt text   A close-up of a person s smiling mouth, showcasing straight white teeth and a dimple on the chin.

Before

The image shows a close-up of a person s smiling mouth with teeth, featuring a dimple on the left side, against an out-of-focus background.

After

This is a close-up image of a person s mouth with visible teeth, including upper and lower front teeth.

Before

The image shows a close-up of a person s teeth, focusing on the lower front teeth which appear to be straight and white with a slight yellow tint.

After

The image shows a close-up of a person s teeth with visible staining and discoloration, particularly on the front upper teeth.

Before

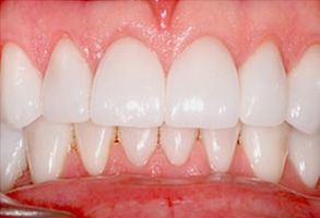
The image shows a close-up of a person s teeth with a focus on the front teeth, which are white and appear to be in good condition.

After

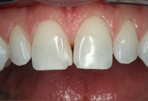
The image shows a close-up of a person s teeth and gums, focusing on the front teeth, with one tooth prominently in the foreground.

Before

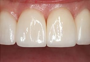
The image shows a close-up of a person s teeth, with the focus on a large, white front tooth that appears to be a veneer or dental implant.

After

The image displays a close-up of a person s teeth, which appear to be discolored and in need of dental care.

Before

The image shows a close-up of a person s teeth, which appear to be in the process of being straightened or aligned with braces.

After

Schedule a visit today!
Contact Us
Submit

Thank You!

We appreciate you taking the time to visit our site. We'll review your message and be in touch with you soon.

Continue
Aerial view of a city park with a lake, skyline in the background, and green spaces.